Impressum
Datenschutz
Home
News
Dienstleistungen
Bleichen verfärbter Zähne
Professionelle Zahnreinigung
Prophylaxe
Zahnschmuckkleben
Schöne
Zähne
Lückenschluss nach Kfo
Zahnfarbene Füllungen
Neue
Verfahren
Arcusdigma
Cerec 3D AC
Diagnodent
Healozone
Implantate
Keylaser Kavo
Informationen
Bonusheft
Festzuschuss
Private Links
Zahnmedizinische Links
Unsere Praxis
Unser Team
Unsere Praxis
Bilder Allgemein
Notdienst
Kontakt
Anfahrt
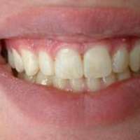
Lückenschluss nach Kfo
Nach korrekter kieferorthopädischer Einstellung der Verzahnung bleiben gelegentlich Lücken durch unterschiedlich große Zähne.
...weiter
Zahnfarbene Füllungen
Zahnfarbene Füllungen werden direkt im Mund aus sogenannten Composite-Kunststoffen angefertigt.
...weiter
Schöne Zähne
Lückenschluss nach Kfo
Zahnfarbene Füllungen
© 2011 Ihre Zahnarztpraxis - Dr. med. dent. Kurt Vialon